Wisdom Tooth Extractions – Wellesley, MA
Safe Removal of Your Third Molars

In many families, wisdom tooth extractions are considered to be a sort of rite of passage. Teens and young adults often must undergo this procedure in order to protect their oral health. Even some adults must get their wisdom teeth extracted. Are you looking for a team who can perform safe removal of your third molars? Our Wellesley, MA, dental practice is here to help. We strive to carry out this specialty procedure in a way that maximizes patient comfort and minimizes the risk of complications. Continue reading below to learn more about wisdom tooth extractions.
Why Choose Wellesley Dental Group for Wisdom Tooth Extractions?
- Dedicated Team of General Dentists and Specialists
- Sedation Available for Patient Comfort
- Caring & Compassionate Support Staff
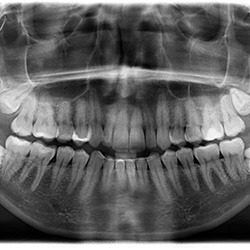
What Are Wisdom Teeth?

Wisdom teeth are the molars found in the very back of your mouth. They usually appear in the late teens or early twenties but may become impacted (fail to erupt) due to lack of room in the jaw or angle of entry. Most people develop four wisdom teeth, but it is also possible to develop one, two, three, or five or more. Some people never develop any wisdom teeth.
Why Do Wisdom Teeth Need to Be Removed?

Impacted wisdom teeth that are partially or fully erupted tend to be quite difficult to clean and are susceptible to tooth decay, recurring infections, and even gum disease. Some patients develop painful cysts or tumors around their wisdom teeth.
If you have been noticing pain, swelling, bad breath, or other symptoms that seem to be coming from the back of your mouth, your wisdom teeth may be starting to cause problems. It would be wise to see a dentist for an evaluation.
What to Expect from the Wisdom Teeth Procedure

If a wisdom tooth is fully erupted, we may just need to lift it with an instrument called an elevator before we grip it with forceps and wiggle it free of its position.
On the other hand, if a tooth is fully or partially impacted, the procedure will be more complex. It might be necessary to create incisions in the gums or break a tooth into pieces in order to completely remove it.
Whichever type of wisdom tooth extraction you undergo, you can be confident that we will do all we can to make sure you are comfortable during your procedure.
Recovering From Wisdom Teeth Extraction

Once your wisdom teeth have been extracted, the healing process begins. Healing time varies, depending on the degree of difficulty related to the extraction. Here are some practical steps you can take to facilitate a smooth recovery:
- Get plenty of rest.
- Do not smoke or use drinking straws.
- Take any medications prescribed by your care team.
- Temporarily eat a soft, non-spicy diet.
- Maintain a good oral hygiene routine, but be extra careful around your extraction sites.
- Contact our team if you have questions or concerns while you are healing.
Understanding the Cost of Wisdom Tooth Extractions

The cost of wisdom tooth extractions depends on a few factors. During your consultation, our team can share specific numbers and talk to you about available payment options. For example, we welcome insurance, accept financing through third-party companies, and even have an in-house discount plan. With the help of such provisions, most families find that wisdom tooth extractions are not difficult to fit into their budget.
Factors That Can Impact the Cost of Wisdom Tooth Extractions
Some factors that may affect the cost of wisdom tooth extractions include:
- The number of teeth that need to be removed. Some patients choose to get all four of their wisdom teeth removed at once. Others may opt to only get extractions for the wisdom teeth that are currently threatening their oral health. Logically, removing more teeth can lead to a higher overall procedure cost. (However, removing all four at once is often more affordable than getting all four removed at different times.)
- Whether or not the wisdom teeth are impacted. When the teeth are impacted (stuck in the bones or gums), they are more challenging to remove. We often refer patients to trustworthy local specialists for the removal of impacted teeth; specialists tend to have their own pricing structures.
- Many patients choose to be sedated during their wisdom tooth procedure. Multiple types of sedation are available, including nitrous oxide, oral conscious sedation, and IV sedation. Each of these comes with its own cost.
Does Dental Insurance Cover Wisdom Tooth Extractions?
Many dental insurance plans do cover wisdom tooth removal. Usually, it is classified as a major service, so around 50% of its cost might be covered, up to the amount of your plan’s annual maximum. Our practice welcomes insurance, and we are even in-network with several popular plans. We will be happy to help you figure out how to maximize your benefits and minimize your out-of-pocket costs.
Other Options for Making Wisdom Tooth Extractions Affordable
Other than insurance, some provisions that could make it easier to afford your wisdom tooth extractions include:
- We work with CareCredit and Sunbit to provide low-interest payment plans for qualified patients. The application process is fast and simple.
- Essential Dental plan. This discount plan provides reduced fees on most of the treatments available in our office. Signing up takes just a few minutes, and you can start to use your benefits right away.
Wisdom Tooth Extractions FAQs
Why Do We Have Wisdom Teeth?
For modern humans, wisdom teeth may seem like little more than a nuisance, but for our ancient ancestors, they were invaluable!
The earliest humans subsisted on a diet of rough foods, such as roots, nuts, leaves, and raw meats. As you might imagine, those foods can be hard on tooth enamel! By the time people reached late adolescence, an extra set of molars could be important for survival.
As human society evolved, food processing and eating techniques became more advanced. Therefore, the wisdom teeth became unnecessary. The average size of the human mouth has also become smaller over time.
Why Are Wisdom Teeth Called That?
All the trouble that can be caused by wisdom teeth might make you wonder where they got such a flattering name. Well, their title does not really come from what they do. Rather, it stems from when they develop. They tend to grow when a person is in their late teens or early adulthood. Therefore, they are older and wiser than they were when their other teeth developed.
Does Everyone Have Wisdom Teeth?
Wisdom teeth are very common, and most people develop four of them — one in each quadrant of the mouth. However, quite a few people are missing at least one wisdom tooth. Some people never develop any of their third molars at all!
Of course, even if you cannot see your wisdom teeth, that does not mean you do not have them. They might still be beneath your gumline. An X-ray during your next dental checkup can reveal for sure whether you have them.
How Do You Make Wisdom Teeth Pain Go Away?
The only surefire way to get rid of wisdom teeth pain for good is to get them extracted. Before your procedure, though, there may be some things you can do to alleviate your discomfort:
- Apply a cold compress to the outside of your cheek for 20 minutes at a time. Do this every few hours to dull pain.
- Take over-the-counter pain relievers, such as ibuprofen and acetaminophen.
- Use an over-the-counter numbing gel that contains benzocaine. This can soothe irritated gum tissues.
- Regularly rinse your mouth with warm salt water.
- Stick to a thorough oral hygiene routine.
- Avoid sticky or starchy foods that might get stuck around partially impacted wisdom teeth.
Is Wisdom Tooth Removal Painful?
Our team makes every effort to help our patients enjoy a comfortable care experience. That is why we will thoroughly numb your mouth before we start removing your wisdom teeth. If you are nervous or sensitive, we may also administer sedation. With the help of these provisions, you should experience little to no discomfort during your procedure.
After any anesthesia and sedation wear off, you can expect your mouth to be sore for a time. Most people are back to feeling normal within one or two weeks. As you recover, you can mitigate discomfort by taking pain relievers, eating a soft diet, and following other post-op instructions from our team.